Invisalign in Columbia, MD
Invisalign treatment is a cosmetic dentistry alternative to traditional braces. Instead of using metal wires and brackets to straighten teeth, Invisalign uses clear, removable aligners. The aligners apply small amounts of pressure to gradually move patients’ teeth into their new and proper position.
Made of polyurethane plastic, Invisalign aligners are both durable and nearly invisible, allowing a patient to undergo orthodontic treatment discreetly without the metallic look of traditional braces. If you are looking for a dentist in Columba, Maryland who can provide you with Invisalign treatment, look no further than Columbia Family Dentist.
Why do patients love Invisalign?
Patients love Invisalign because the retainers are:
- Removable
- Easy to clean
- Discreet
Additionally, Invisalign retainers:
- Require no dietary restrictions
- Can stay in while drinking water
- Prevent damage from teeth grinding
How does Invisalign work?
After taking dental impressions and X-rays, we’ll determine how to move your teeth into a straighter position. After your initial appointment, we will use these impressions to create customized aligners that meet your orthodontic needs. You’ll wear each set of aligners for approximately two weeks before progressing to the next set of aligners.
Invisalign will require some self-discipline on the patient’s part because they are only effective if consistently used. Invisalign must remain in your mouth for at least 22 hours out of the day so that your teeth are constantly under pressure to shift into a straighter position.
Fortunately, polyurethane plastic is much more comfortable than traditional braces’ metal wires and brackets. Because they are hardly noticeable when used, patients are encouraged to use them daily.
How do I know if Invisalign is right for me?
Some orthodontic issues may prevent patients from using Invisalign retainers. Your teeth’s shape and current position greatly affect whether or not Invisalign will be an option for you. Additionally, your gums need to be healthy before the start of Invisalign treatment begins. Other issues that could affect a patient’s ability to receive Invisalign treatment include:
- Dental bridges, porcelain veneers, or crowns – Patients who have already received pre-dental work before Invisalign treatment are less likely to be considered a good candidate. This is because the retainers cannot bond to the surface of these attachments.
- Large gaps – There are some gaps that Invisalign cannot close. If a gap in your teeth goes above 6mm wide, we usually won’t recommend Invisalign treatment.
- Overcrowding – Invisalign may not be recommended if you need a tooth extraction. Additionally, the plastic retainers cannot be used immediately after extraction as this extra space affects the fit of the retainers.
How quickly do teeth move with Invisalign?
Invisalign is typically a speedy treatment, but it takes time for teeth to shift. Shifting teeth is a gradual process. Patients may notice a difference in the alignment of their teeth after 10-12 weeks of treatment. Individuals’ sensitivity and body reaction to Invisalign treatment varies from patient to patient. Children’s and teenagers’ jaws are typically more receptive to treatment and shift faster than older adults’ teeth.
Does Invisalign change your face shape?
The job of Invisalign is to shift a patient’s teeth into proper alignment. The shifting of teeth alters jaw bone structure and shape. This may change the outward appearance of a patient’s face. In general, facial changes from Invisalign improve the appearance and function of a patient’s jaw and teeth.
What happens after you finish Invisalign?
Once patients have finished Invisalign treatment, they will wear a retainer. This is to ensure that the patient’s teeth do not shift post-treatment. Without a retainer, it is common for teeth to shift back, so they are necessary to sustain your smile post-treatment. You are typically required to use a retainer twice as long as your Invisalign treatment length.
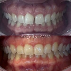
Patient Review
Caring For Invisalign
Invisalign can only do its job properly if you care for the aligners properly. In some aspects, Invisalign requires more responsibility than traditional braces. You must wear it for the needed time while taking it out for meals and your oral healthcare routine.
When you take your aligners out of your mouth, rinse them with warm water. Never use hot water, as this can warp the mouthguard’s plastic. This washes away any food debris and saliva collected in the aligners while wearing them. At least twice daily, brush your aligners with a soft-bristled toothbrush and mild soap or non-abrasive toothpaste. This cleans any buildup that’s developed in them.
Soak the aligners weekly in an alcohol-free mouthwash or aligner cleaner to remove any lingering odor or bacteria. Continue to brush and floss your teeth regularly, too. If bacteria or staining agents build up on your teeth, it can affect the aligners. If the aligners stain, they lose their invisibility, which greatly benefits many people who choose Invisalign. It can also trap bacteria or food between the aligner and your teeth, increasing the chances of tooth decay or gum disease.
When you store your aligners, ensure they’re in a safe place. When you take your aligners out to eat, storing them in a napkin or tissue means they can easily get caught up with the trash. A carrying case ensures that the aligners stay safe. A well-ventilated case helps bacteria and debris build up on the aligners.
Visit Our Cosmetic Dentistry for Invisalign
The only way to know if Invisalign is right for you is to schedule an appointment with Columbia Family Dentist. Tell our top Columbia dentists that you are interested in our Invisalign solutions.
From there, our team will evaluate the current condition of your smile to determine if this treatment option will best meet your dental health and aesthetic needs. We look forward to discussing the benefits of Invisalign with you and determining whether or not they will meet your needs.
